Teeth whitening
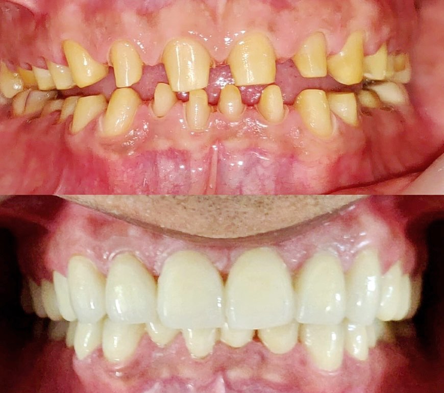
Full mouth rehabilitation with Caps
post Braces treatment
Implant supported fixed denture
Healthy Patients
Qualified Doctors
Years of Experience
Services